当前位置:主页 > 口腔种植 > 单颗牙缺失 >
关于“牙齿松动”的那些事
时间:2016-07-26 13:24 在线预约 | 在线咨询
   大部分人都把牙齿松动、脱落作为人衰老的标志,觉得很正常,尤其是老年人。其实这是一种错误的思想。事实上,深圳口腔博士熊小明医生介绍,只有在病理状态下才会出现牙齿松动,不单是老年人,其他年龄的人也可能牙齿松动。 

  “松牙”的罪魁祸首莫过于“牙周病”,来看看深圳美莱口腔博士熊小明医生的介绍。

  美莱口腔熊小明医生介绍,牙周病是出现牙齿松动常见的原因之一,牙周组织是支撑牙齿的主要支柱,牙周发炎,自然牙齿也站立不稳,此时牙齿容易松动。换牙期间的乳牙松动、咬合创伤、根尖周炎、牙齿外伤、囊肿或肿瘤压迫等也会引起牙齿松动;妊娠期、月经期及长期服用激素类避孕药的妇女,可有牙齿动度增加。

  关于牙齿松动误区:

  熊小明医生介绍,现在很多出现牙齿松动的患者中都普遍存在着两种误区,一种是认为只要是牙齿松动了都该拔除,另一种则认为松动牙宁任其自行脱落也不愿拔除。其实以上两种观点都是有偏差的。
 
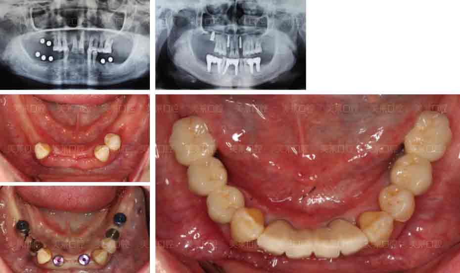
美莱种植牙案例
 
  正常情况下牙齿有轻微的生理性动度,主要是水平方向,也有极微小的轴向动度,均不超过 0.02毫米,人们不易察觉,如超过这个生理范围,大多数是由于牙齿周围发生了病变。一般来说,单根牙比多根牙容易松动,牙根短小者比牙根粗而长的牙齿易松动。

  牙齿松动的治疗:

  对牙周病引起的牙齿松动,若轻度松动,通过进行洁治、刮治等治疗措施,大多可恢复正常;若中度松动,在治疗牙周病的同时,还应该把松动牙与相邻的牙固定在一起,用以降低松动牙的负荷,阻止牙齿松动的加重,这时松动的牙齿多数还不能恢复;重度松动的牙齿,也就是牙齿无论在上下左右均明显松动,这时多需要拔除患牙,避免加重邻牙不必要的负担。拔牙后可用种植牙修复缺失牙齿。
  深圳美莱口腔通过与武汉大学口腔医学院、广东省口腔医学会建立医生交流机制,汇聚了国内口腔种植名家,采用欧美八大王牌种植技术,在中国开创了种植时代,“1刻钟即刻种植”,首次摆脱了传统种植牙繁琐低效让患者望而却步的弊端,在种植操作、速度、无损伤上都实现了质的变革,能即刻快速地为你重种一口“无创伤、高质量”的亮白固齿。>> 点击在线咨询,了解更多牙齿问题
 
分享到:
深圳美莱口腔门诊部 • 一家专注口腔健康与美丽的医院
全国免费预约热线:400-801-8088
QQ在线咨询:8006688999
来院地址:深圳市福田区深南中路2050号华南电力大厦234层
粤ICP备14024678号-1 (粤)(深)医广【2015】第04-09-072号 深圳美莱口腔 版权所有